近日,上海市东方医院南通瑞慈医院心血管内科团队成功救治了一名病情极其危急的85岁老人。患者起初只是咽痛,没想到竟是一场严重心脏病的信号!上海市东方医院南通瑞慈医院专家团队反应迅速、判断精准、技术过硬,最终让老人转危为安,展现了医院在救治心脏急危重症方面的强大能力。
咽疼竟是心脏病信号!老人命悬一线 85岁的李爷爷,突发咽痛十余小时未缓解,来院前情况急转直下——老人突然感到胸口像被大石头压住一样闷得喘不过气,浑身冒冷汗,被紧急送到瑞慈医院急诊。一做心电图,医生们的心都揪紧了:结果显示老人心脏下壁和右心室发生了急性心肌梗死!更危险的是,他的心脏“电路系统”也出了大问题—— 心脏完全性传导阻滞,心率每分钟只有36次!(正常人60-100次),这意味着老人随时可能心脏停跳!加上老人年纪大,又有多年高血压、脑梗病史和长期吸烟,心脏功能很差,救治难度和风险非常高。 △急性下壁心肌梗死,III°房室传导阻滞 △室颤 争分夺秒!绿色通道打开生命之路
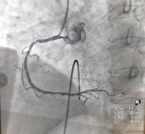
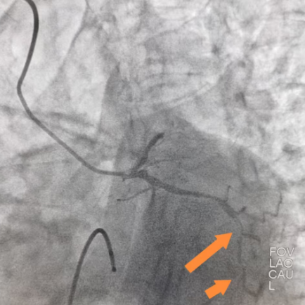
情况万分危急!瑞慈医院胸痛中心“绿色通道”立即启动。心血管内科崔勤主任团队火速会诊,结合心电图变化和症状,确诊老人是“急性下壁和右室心肌梗死,完全性房室传导阻滞”,当机立断:老人心跳这么慢,又有大面积心肌坏死,必须立刻做微创手术疏通堵塞的血管,这是救命唯一的办法!在快速征得家属同意后,崔勤主任团队制定了周密的方案:先给心脏装个临时的“起搏器”稳住心跳,接着立刻做心脏血管造影检查,如果需要就马上疏通血管。 △心血管内科崔勤主任(右一)团队术中 手术在导管室紧张进行,崔主任团队首先顺利在老人心脏里放置了一个临时“起搏器”,设定它每分钟发出60次电脉冲,代替坏掉的“电路系统”,暂时保住心跳。 刚放完临时起搏,患者再次出现心脏骤停,这次是室颤,患者瞬间意识丧失,团队成员迅速反应,立即启动心脏按压,电除颤,就在200J电流波迅速通过心脏,心律恢复。此时血压已然偏低,通过迅速的心脏血管造影,崔主任快速锁定病根——除了一根血管(左回旋支)也有多处严重狭窄外,另一根重要的血管(右冠状动脉)中间段完全堵死了!这根闭塞的血管就是导致心梗的“元凶”。 在临时起搏器的保护下,崔主任团队精准操作。用一根细如发丝的导丝小心翼翼地穿过了完全堵死的血管段,然后用小球囊把堵塞处撑开,最后精准放入一枚冠状动脉支架,血流完全恢复畅通! 崔勤主任提到,“这么大年纪的老人,心脏血管多处严重堵塞,加上心跳慢到随时会停,又突发心脏室颤,救活他就像走钢丝,风险极高。这次能成功,靠的是迅速判断,沉着应战,关键是稳定的技术发挥以及整个胸痛急救团队的完美配合。心脏血管堵住后,心肌细胞每分每秒都在死亡,我们必须跟时间赛跑,抢回生机!” 南通瑞慈医院心血管内科一直致力于提升对心脏急危重症的救治能力,通过建设规范的胸痛中心,不断优化抢救流程。这位高龄、高危、病情复杂老人的成功获救,正是医院强大综合实力的证明,也为南通及周边地区老百姓的心脏健康筑起了一道坚实的防线。
手术后,李爷爷胸闷症状大大减轻,心跳和血压都稳定下来,在临时起搏器的保护下平安回到病房继续治疗,目前老人恢复情况良好。



